找回密码
 注册

微信登录,快人一步

QQ登录

只需一步,快速开始

楼主: gjs661

紧急求助——82岁老岳父发热1个月(第87楼有更新)

 火... [复制链接]
发表于 2009-6-4 08:33 | 显示全部楼层
恭喜!
回复

使用道具 举报

发表于 2009-6-4 08:47 | 显示全部楼层
77# gjs661

真为您和老人家高兴,我等着您请煎饼卷大葱哈:lol
血小板减低,应该与使用激素关系不大(有时病人使用激素后血细胞还可升高:P )。记得老人家在使用激素之前血小板也低过?考虑实验室原因?
只要没鼻、牙龈等部位出血,门诊随访。有什么随时联系我哈:P
回复

使用道具 举报

发表于 2009-6-4 08:49 | 显示全部楼层
看了帖子后,实在是太感动了!:loveliness:不会会诊,只能祝福老人家早日康复!
我们这个大家庭太好了!
提议办疑难病症这个栏目太好了!资源共享!:victory:
回复

使用道具 举报

发表于 2009-6-9 11:05 | 显示全部楼层
结合病史及骨髓资料等,血小板减低应考虑为“感染相关性嗜血细胞综合征”引发的!!若为恶组的话,病程、实验室检查是不支持的!病人应垮得相当厉害!骨髓中组织细胞应有畸形或幼稚组织细胞!多次检查血小板均减少的话,实验室误差的可能性较低!应建议检验科行外周血涂片检查!!对于此血小板的减少,没有必要针对用药,只要将原发疾病治愈,血小板肯定会上升的!预后良好!! 82# 桃子妖妖

评分

参与人数 1 +10 收起 理由
gjs661 + 10 谢谢您的关注

查看全部评分

回复

使用道具 举报

发表于 2010-1-8 17:01 | 显示全部楼层
首先祝贺老人家康复。通过这病例,可以学很多临床诊断思维及用药依据,对临床药师来说真是受益非浅。真是谢谢论坛提供那么好的学习机会。

评分

参与人数 1金币 +6 收起 理由
gjs661 + 6 谢谢,欢迎常来!

查看全部评分

回复

使用道具 举报

发表于 2010-1-10 21:57 | 显示全部楼层
从头到尾看了一遍这些帖子,真的很感动!也学到了很多东西。
祝贺老人家康复,为论坛老师们的热心、敬业、爱心所感动!

评分

参与人数 1金币 +6 收起 理由
gjs661 + 6 谢谢您的耐心!

查看全部评分

回复

使用道具 举报

 楼主| 发表于 2010-4-27 20:14 | 显示全部楼层
感谢所有关心我岳父健康的战友!——经过以上方案治疗,病情稳定,生活曾经完全恢复!—— 在稳定10个月后,又发热23天!——再次请求帮助!
口服强的松逐渐减量,3月份改为10mg,每天一次。原打算总疗程1年,5月中旬停药。自去年5月中旬开始半年抗结核治疗(异烟肼、利福平、乙胺丁醇)。

在3月20日左右洗澡受凉,出现流涕,口服复方大青叶片治疗,4月4日开始发热、轻咳、咽痛。4月14日住到我家。
4月14日血生化:谷草112U/L,谷丙82U/L,CRP37.74mg/L。白蛋白31.17g/L。
血常规:白细胞5.2×10[sup]9[/sup]/L,N 0.72,L0.18,血小板154×10[sup]9[/sup]/L。ESR4mm/L。
MP-IgM<1:40,癌胚抗原4.73(参考值0~3.4),AFP3.09(参考值0.5~3.09)
肺部CT平扫未见异常。
口服大青叶治疗观察,增加强的松20mg口服,每日凌晨发热达39度。服布洛芬可退热,退热大量出汗。
4月18晚寒战,抽两份血培养(培养5天无需氧菌生长)。
4月18晚血常规白细胞6.03×10[sup]9[/sup]/L,N 0.74,L0.20,血小板94×10[sup]9[/sup]/L。
4月19日血生化谷草85U/L,谷丙76U/L ,CRP29.12mg/L。白蛋白29.15g/L。
仍夜间发热,热退出汗。下肢出现轻微浮肿。
4月24日开始每天静滴甲强龙80mg,仍然发热39度以上。
今天市医院呼吸内科主任来我院讲“糖皮质激素在呼吸科应用”,看过检查结果和治疗经过,认为目前还应考虑结核病可能(去年就是这一观点!)。

这次反复表现上有很多与去年相似,给我的感觉是“反复”。
但是如果是反复甲强龙80mg控制不下来体温,为什么效果为什么不如去年?
这次发热如果不是原来的病情反复原因在哪?
如果最初的诊断有问题,为什么能够稳定10个月?
下一步的检查治疗?
回复

使用道具 举报

发表于 2010-4-27 21:30 | 显示全部楼层
本帖最后由 桃子妖妖 于 2010-4-27 21:37 编辑

想明确:1、除了发热外,有无咳嗽咯痰等呼吸道症状?有无关节疼痛等?肺部体征等?2、很想知道抗痨治疗的疗程?停药之前是否复查过胸部CT?针对您父亲的情况,若无严重的抗结核治疗副反应的话,抗痨治疗的疗程应不短于1年;如果如果仅是半年后即停药,疗程肯定短了,再加之一直服用激素,很可能致结核复发活跃(患者目前白细胞不高,中性稍高,发热多在夜间);3、另外,想了解口服强的松是多久减至10mg的?怎样减量维持的?环磷酰胺使用的情况?
目前,个人认为结核复发的可能性较大。建议:1、目前可再行胸部增强CT,多次抽血培养,行SR、PPD皮试及免疫全套检查;2、治疗上不知除静滴甲强龙80mg外,其它治疗?建议静脉滴注左氧氟沙星,酌情考虑是否给予依替米星(对肾脏副作用相对较少)?必要时根据检查和治疗反应考虑给予结核复治;3、加强支持治疗(目前有下肢水肿,白蛋白29.15g/L明显降低)。
以上仅是个人建议,希望能对您有所帮助。明日再去请教相关专家。有何情况,请随时与桃子联系哈
回复

使用道具 举报

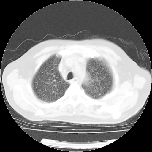
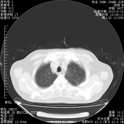
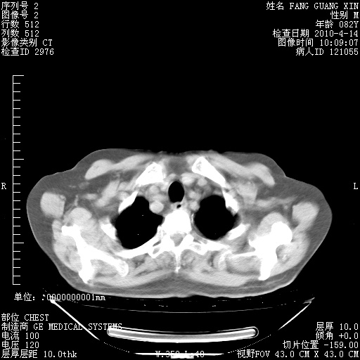
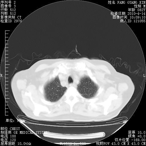
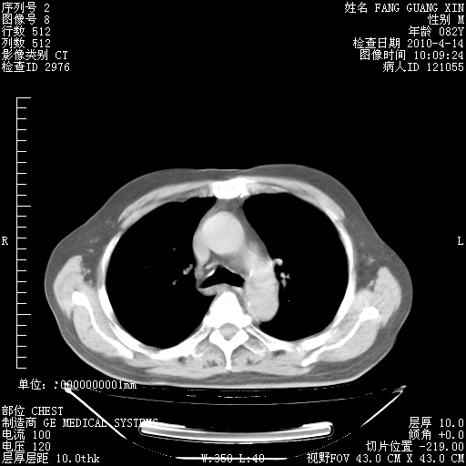
 楼主| 发表于 2010-4-28 16:45 | 显示全部楼层
4月14日肺部CT

23.JPG

24.JPG

25.JPG

26.JPG
回复

使用道具 举报

 楼主| 发表于 2010-4-28 16:47 | 显示全部楼层
4月14日肺部CT

27.JPG

28.JPG

29.JPG

30.JPG
回复

使用道具 举报

 楼主| 发表于 2010-4-28 16:47 | 显示全部楼层
4月14日肺部CT

31.JPG

32.JPG

33.JPG

34.JPG
回复

使用道具 举报

 楼主| 发表于 2010-4-28 16:48 | 显示全部楼层
4月14日肺部CT

35.JPG

36.JPG

37.JPG

38.JPG
回复

使用道具 举报

 楼主| 发表于 2010-4-28 16:49 | 显示全部楼层
4月14日肺部CT

39.JPG

40.JPG

41.JPG
回复

使用道具 举报

 楼主| 发表于 2010-4-28 16:49 | 显示全部楼层
4月14日肺部CT

2.JPG

3.JPG

4.JPG

5.JPG
回复

使用道具 举报

 楼主| 发表于 2010-4-28 16:50 | 显示全部楼层
4月14日肺部CT

6.JPG

7.JPG

8.JPG

9.JPG
回复

使用道具 举报

 楼主| 发表于 2010-4-28 16:51 | 显示全部楼层
4月14日肺部CT

10.JPG

11.JPG

12.JPG

13.JPG

14.JPG
回复

使用道具 举报

 楼主| 发表于 2010-4-28 16:53 | 显示全部楼层
4月14日肺部CT

15.JPG

16.JPG

17.JPG

18.JPG

19.JPG

fgx.JPG
回复

使用道具 举报

 楼主| 发表于 2010-4-28 16:59 | 显示全部楼层
4月28日肺部CT——再次出现类似去年5月9日——透光度降低,(影像科认为)“间质性”改变。

1221483 1 .bmp

1221483 2 .bmp

1221483 3 .bmp

1221483 4 .bmp

1221483 5 .bmp
回复

使用道具 举报

 楼主| 发表于 2010-4-28 17:00 | 显示全部楼层
4月28日肺部CT——再次出现类似去年5月9日——透光度降低,“间质性”改变。

1221483 6 .bmp

1221483 7 .bmp

1221483 8 .bmp

1221483 9 .bmp
回复

使用道具 举报

 楼主| 发表于 2010-4-28 17:02 | 显示全部楼层
4月28日肺部CT——再次出现类似去年5月9日——透光度降低,“间质性”改变。

1221483 10.bmp

1221483 11.bmp

1221483 12.bmp

1221483 13.bmp

1221483 14.bmp
回复

使用道具 举报

您需要登录后才可以回帖 登录 | 注册 |

本版积分规则

关闭

站长推荐上一条 /1 下一条

快速回复 返回顶部 返回列表